As my 10 year annual check up began to creep up on me I was bombarded by thoughts of what kind of shot I was going to get. I had a fear of any kind of shots. Am I just getting a finger prick? What if I was due for a painful vaccine injection? Looking back now, I realize this should’ve been the least of my worries. I wasn’t aware of much back then, my main concerns revolved around wishing for a new pet or watching the latest episode of my favorite cartoon. My pediatrician knocked on the illustration covered door and began small talking while doing the basic routine check up. One specific part of the exam included the very familiar, “Bend down and touch your toes.” I did just as requested, bending down,
struggling for my fingertips to make contact with my shoe. I recall him saying he saw signs of scoliosis and advised my mother I should get my back checked with a specialist as soon as possible.
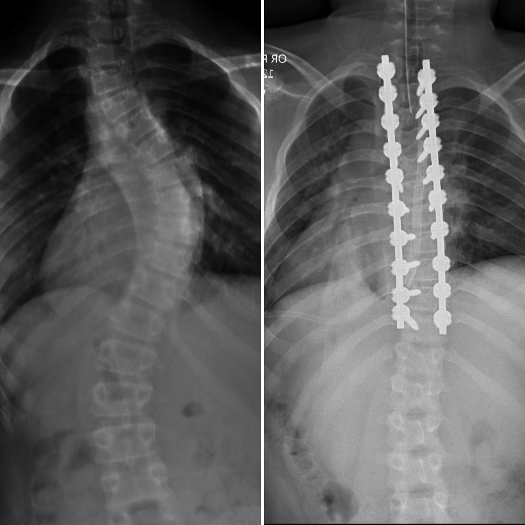
Fast forward a few weeks later, it was revealed that I did indeed have scoliosis and . I needed to get fitted for a brace to stop the progression. I don’t really remember the exact degree of my scoliosis, just that I had two curves. I didn’t imagine that it was anything too severe back then. I was blissfully unaware of what this all meant. I got fitted for what would be my first brace then waited patiently for it to arrive. Once I put it on, I realized how much it was going to affect my life. I wasn’t really bothered about the social aspect of wearing a brace, more just the discomfort it provided.



Multiple appointments and two braces later, I encountered a very large fork in the road. It appeared that the braces weren’t sufficient and I would need spinal fusion surgery. As the surgeon explained the surgery, all I heard was “titanium rods, general anesthesia, blood loss, and difficult recovery.”
Thankfully, I had an extremely renowned surgeon and a team of excellent nurses. Although the medical support was unmatched, I’m not going to act like the surgery and recovery weren’t tough. The constant beeping of my IVs and continuous awakening from my nurses prevented any slight comfort in my time at the hospital. A core memory during this period was having to relearn how to walk the day after surgery. It felt so strange. I felt like a robot perhaps because I had robot parts in me now. I looked forward to being discharged home, but my recovery at home was even tougher once the medications wore off.
As a result of all of these occurrences, I am passionate about becoming an ambassador for Setting Scoliosis Straight. My scoliosis, and the corrective surgery that stemmed from it, inspires me to focus on the field of medicine and advocate for those who are in the same position as I was. I look forward to taking from my experience to help other children and teens with Scoliosis.



Read more patient stories like this from around the world.





