Every year my school district requires a physical from a pediatrician. Here, they do all the basic measurements and tests necessary to ensure I am healthy. At my physical for the start of middle school (sixth grade), I bent to touch my toes and my doctor measured my back. After this instance, my diagnosis of scoliosis was a blur. I remember visiting an orthopedist, taking x-rays, and getting measured for a brace.
Most importantly, I remembered feeling like I was alone because I knew no one else with scoliosis. I knew no one else that wore a bulky brace on the first day of middle school. I knew that once I put my brace on, hot tears would swell behind my eyes. Once I came to that conclusion, I stopped wearing my brace for all of sixth and seventh grade, without realizing how much more my spine was curving.
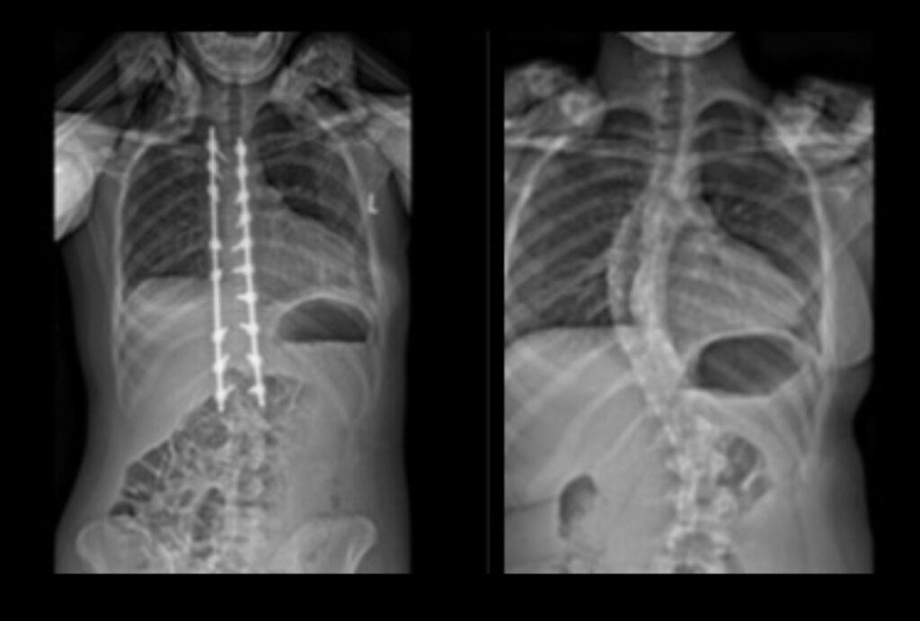
At my next appointment, we came to the decision that my curve had simply progressed too far and a spinal fusion was necessary. On January 6, 2021, I had my spinal fusion. I used all the ambition and mental toughness from wearing my brace to strengthen my body after surgery by committing to physical therapy and strength training. I worked as hard as I could to get back into playing volleyball and to discipline myself to work hard in school. Over the last two years I have conducted research regarding scoliosis and self-esteem. I was able to talk to teenagers across the United States about their feelings and experiences, finally feeling like I was never truly alone throughout my scoliosis journey. I am now a senior, captain of my high school’s volleyball team, and applying to colleges with the drive to become a physical therapist.
I hope to show that everyone’s experience with scoliosis is different and it is not just a condition to “get through” or “manage”. It is full of lessons that have the ability to shape who you are. Finding Setting Scoliosis Straight has brought light to just how many people are here to care and support those with scoliosis.
I am proud to say that I have scoliosis.



Read more patient stories like this from around the world.





